
Now, as part of the Physical Screening Process, let’s have them open wide!
Are their oral tissues inflamed? Do they have bad breath? High incidence of caries? All may indicate mouth breathing and an obstructed airway.
Does the patient have an underdeveloped high vaulted palate? Since the roof of the palate is the floor of the nose, a high vaulted palate is an indication of a diminished nasal airway. Asking “why" leads to your next observation.
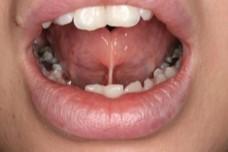
Is the patient tongue tied? If their tongue cannot go to its natural position during swallowing, this will lead to the maxilla staying narrow and high vaulted.
Can you see the uvula and the posterior walls of the airway? Look at the back of the oral cavity. An observation tool called the Mallampati classification will allow you to quickly score the airway opening in this area.
Can you see the tonsils? Are they normal or enlarged? Inflammation of the tonsils is a strong indicator of an obstructed airway.
In just a few minutes you can gather information that, when included with your written screening questions and a review of the patient’s medical history, should give you enough information to make a determination on whether to move forward and order a sleep test. This is the next critical step to getting a true diagnosis.
Click this link for the complete text of The Role of Dentistry in the Treatment of Sleep Related Breathing Disorders. –
or visit ADA.org/sleepapnea for more information.

WANT TO KNOW MORE?
Visit our Website at https://www.smlglobal.com/airway-health and discover a world of
airway & sleep appliances, products, supplies and information.